Early Signs of Tooth Decay You Should Not Ignore

Most people in Lahore Askari 10 visit a dentist only when the pain becomes unbearable. Unfortunately, by that point, what started as early tooth decay has often progressed into a serious dental problem requiring major treatment. At Dental Avenue and Facial Aesthetics, we believe that prevention always beats cure. Therefore, recognizing the early signs of cavities and symptoms of decay is the single most powerful step you can take toward protecting your smile.
Furthermore, tooth decay does not happen overnight. It develops gradually, and the body sends clear warning signals long before the pain becomes severe. In this guide, we walk you through every major warning sign so you can detect cavities early and seek timely treatment.
What Is Tooth Decay and How Does It Start?
Tooth decay is the destruction of your enamel — the hard outer layer that protects your teeth. It begins when oral bacteria in your mouth feed on sugars from food and drinks, producing acids as a byproduct. Over time, these acids cause enamel erosion, which leads to dental cavities.
Additionally, poor oral hygiene allows dental plaque — a sticky film of bacteria — to build up on teeth. When plaque hardens, it becomes tartar, which is far more difficult to remove and accelerates the causes of tooth decay significantly.

Early Sign #1: White Spots on Your Teeth
The very first visible sign of early decay is the appearance of chalky white spots on the tooth surface. These spots indicate that enamel erosion has already begun as minerals leach out of the enamel due to acid attacks from oral bacteria.
Moreover, most patients in Lahore overlook these white spots because they cause no discomfort at this stage. However, catching early tooth decay at this point gives dentists at Dental Avenue and Facial Aesthetics the best chance to protect tooth enamel and reverse the damage through remineralization therapy.
Early Sign #2: Tooth Sensitivity to Hot, Cold, or Sweet Foods
Do you experience a sharp, sudden pang when you sip hot tea or bite into something cold? This is a classic symptom of tooth sensitivity, and it directly signals tooth enamel damage. As the enamel wears away, the inner layer of the tooth — called dentine — becomes exposed, triggering sharp tooth pain in response to temperature changes.
Furthermore, sensitivity to sweet or acidic foods is equally important to note. If leaving these foods in contact with your teeth causes discomfort, it strongly suggests active dental cavities or significant enamel erosion that requires immediate attention.
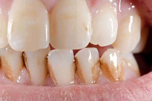
Early Sign #3: Dark Spots or Stains on Teeth
As early tooth decay progresses, dark spots begin to appear on the tooth surface — typically brown, black, or grey in color. These stains are not simply cosmetic issues. They signal that the underlying structure of the tooth is breaking down. Therefore, if you notice any unusual discoloration, you should visit Dental Avenue and Facial Aesthetics in Lahore Askari 10 without delay.
Additionally, these dark spots often indicate that plaque and tartar have built up significantly in areas that are hard to clean — especially between teeth and along the gumline.

Early Sign #4: Bad Breath That Doesn’t Go Away
Persistent bad breath, medically known as halitosis, is one of the most commonly ignored symptoms of decay. When bacteria thrive in decaying tooth matter or infected gum tissue, they release sulfur compounds that cause a foul odor. Consequently, no amount of brushing or mouthwash provides lasting relief if the underlying decay remains untreated.
Moreover, halitosis often accompanies gum inflammation and gum bleeding — two additional signs that your oral health requires professional care. Together, these symptoms may indicate the early stages of gingivitis or a deeper infection developing around the tooth root.
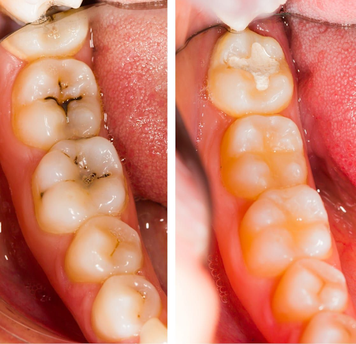
Early Sign #5: Visible Holes or Pits in Teeth
When dental cavities advance beyond the enamel layer, they create visible pits or small holes in the tooth surface. At this point, the decay has penetrated into the softer dentine layer, and tooth pain during chewing becomes common. Without prompt tooth decay treatment, the infection can reach the tooth’s nerve, leading to an abscess — a far more serious and painful condition.
Therefore, if you can physically see or feel a hole in your tooth with your tongue, do not wait. Contact Dental Avenue and Facial Aesthetics in Lahore Askari 10 immediately for a comprehensive examination and tooth decay treatment plan.
Early Sign #6: Gum Bleeding and Inflammation
Many patients do not realize that gum bleeding and gum inflammation are directly connected to early tooth decay. When plaque and tartar accumulate near the gumline, they trigger gingivitis — the earliest stage of gum disease. Additionally, bacteria from decayed teeth can spread to the surrounding gum tissue, causing redness, swelling, and bleeding during brushing.
Quick Reference
| Warning Sign | What It Indicates | Urgency Level | Action Required |
| White spots on teeth | Start of enamel erosion | Moderate | Visit a dentist for remineralization |
| Tooth sensitivity | Enamel damage / early cavities | Moderate-High | Dental check-up & fluoride treatment |
| Dark spots/stains | Active decay progressing | High | Cavity filling or restoration |
| Bad breath (halitosis) | Bacterial infection/decay | Moderate | Professional cleaning & exam |
| Visible holes or pits | Advanced dental cavities | Very High | Immediate tooth decay treatment |
| Gum bleeding/inflammation | Gingivitis/gum infection | High | Deep cleaning & gum therapy |
| Persistent tooth pain | Nerve involvement/infection | Critical | Emergency dental visit |
How to Prevent Dental Cavities and Protect Your Smile
Fortunately, you can take powerful steps to prevent dental cavities and maintain oral hygiene at home. At Dental Avenue and Facial Aesthetics, we recommend the following proven strategies to every patient in Lahore:
- Brush your teeth twice daily with a fluoride toothpaste to protect tooth enamel and remove dental plaque.
- Floss daily to remove bacteria and food particles from between teeth where tartar builds up fastest.
- Reduce your intake of sugary and acidic foods that accelerate enamel erosion and fuel oral bacteria.
- Drink plenty of water — especially fluoridated water — to rinse away plaque and neutralize acids.
- Visit Dental Avenue and Facial Aesthetics in Lahore Askari 10 every six months for professional cleaning and to detect cavities early before they worsen.
Tooth Decay Stages: What Happens at Each Level
| Decay Stage | What Is Affected | Symptoms Present | Treatment Option |
| Stage 1 — Initial Lesion | Outer enamel (surface only) | White spots, no pain | Fluoride/remineralization |
| Stage 2 — Enamel Decay | Enamel layer breaking down | Mild sensitivity, early stains | Tooth-colored filling |
| Stage 3 — Dentine Decay | Dentine (layer below enamel) | Sensitivity, visible dark spots | Filling or inlay/onlay |
| Stage 4 — Pulp Involvement | Inner pulp and nerve tissue | Moderate to severe tooth pain | Root canal treatment |
| Stage 5 — Abscess / Infection | Root and surrounding bone | Severe pain, swelling, and fever | Root canal or extraction |
Lahore Trusts Dental Avenue and Facial Aesthetics
Frequently Asked Questions
What are the very first signs of early tooth decay I should watch for?
The earliest signs of cavities include chalky white spots on the tooth surface and mild tooth sensitivity to hot, cold, or sweet foods. Additionally, you may notice slight discoloration or dark spots forming. At this stage, visiting Dental Avenue and Facial Aesthetics in Lahore allows us to reverse the damage before a full cavity forms.
Can early tooth decay be reversed without a filling?
Yes — in the very earliest stage, when enamel erosion has only just begun, remineralization therapy using fluoride treatments can protect tooth enamel and restore lost minerals. However, once a cavity has formed a physical hole or pit, a filling becomes necessary. Therefore, early detection is critical to avoid more invasive tooth decay treatment.
How does bad breath relate to tooth decay?
Persistent bad breath or halitosis often signals that bacteria are actively breaking down tooth structure or infecting gum tissue. The decay process produces gases that cause a foul odor no amount of mouthwash can permanently mask. Treating the underlying dental cavities or gum inflammation is the only lasting solution.
How often should I visit a dentist in Lahore to detect cavities early?
Dental Avenue and Facial Aesthetics recommends visiting every six months for a professional examination and cleaning. Regular check-ups allow our dentists to detect cavities early, remove tartar buildup, and catch any developing gum bleeding or gingivitis before they worsen. Consequently, early visits significantly reduce your lifetime dental treatment costs.
What is the best way to maintain oral hygiene and prevent tooth decay?
The most effective way to maintain oral hygiene and prevent dental cavities is to brush twice daily with fluoride toothpaste, floss every day, reduce sugar intake, drink plenty of water, and schedule regular dental check-ups. Furthermore, Dental Avenue and Facial Aesthetics offers customized preventive plans designed specifically for Lahore patients to protect tooth enamel and ensure lifelong dental health.

