Root Canal Price in Lahore at Best Dental Hospital
Are you experiencing severe tooth pain and wondering about treatment costs? Understanding Root Canal Price in Lahore helps you make informed decisions about your dental health. At Dental Avenue Hospital, we believe everyone deserves access to quality dental care without financial stress. Therefore, we offer transparent pricing and exceptional root canal services tailored to your needs.
What Is Root Canal Treatment?
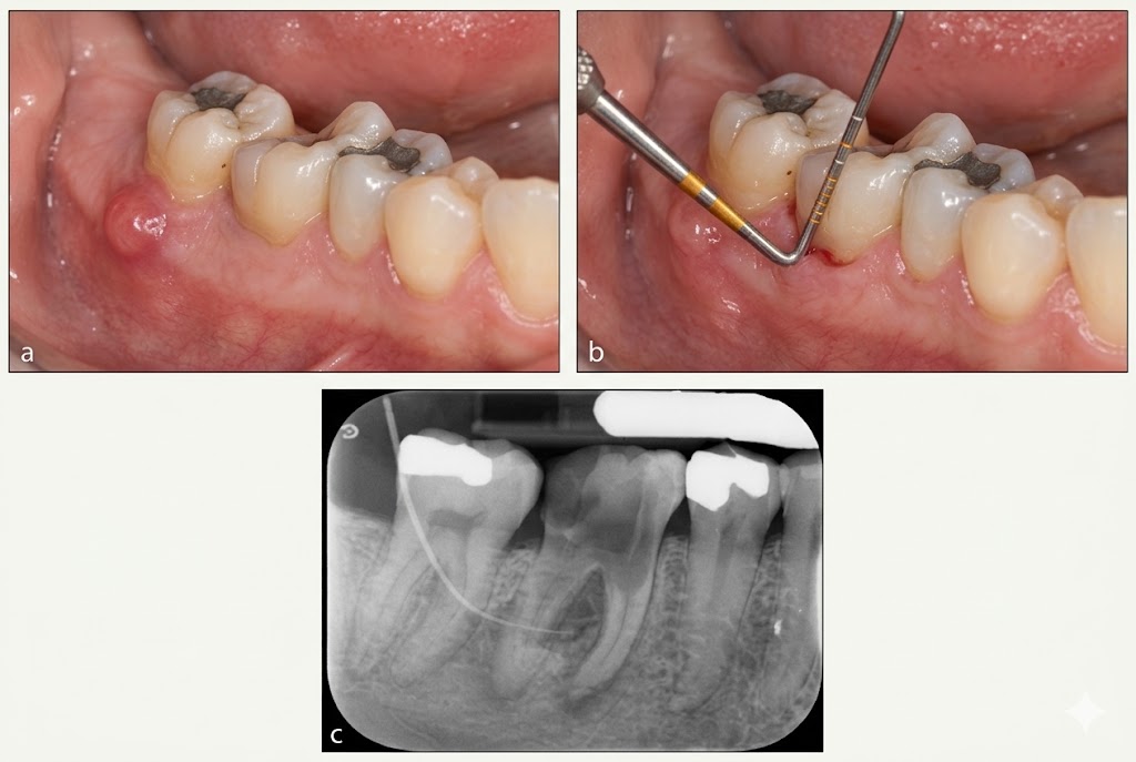
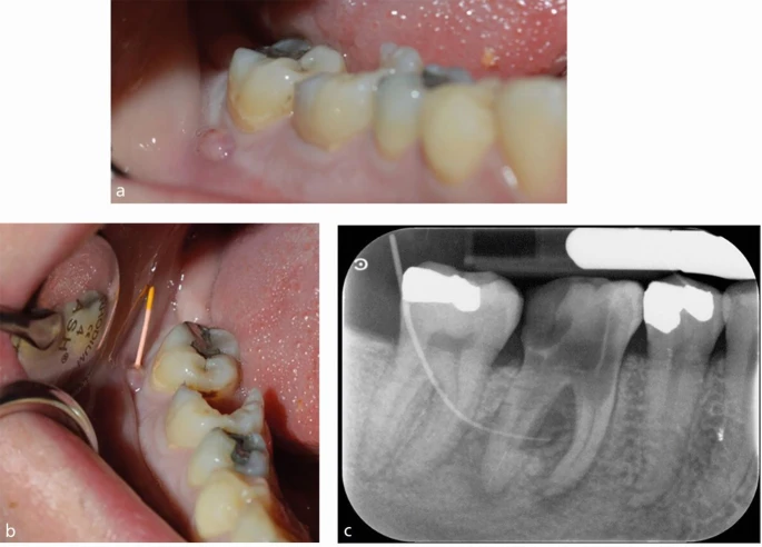
Root canal therapy saves severely damaged or infected teeth from extraction. Essentially, this procedure removes infected pulp from inside your tooth, cleans the canals, and seals them to prevent future infection. Moreover, the treatment preserves your natural tooth structure, maintaining proper chewing function and facial aesthetics.
Many people fear root canals unnecessarily. However, modern techniques have transformed this procedure into a comfortable experience. Consequently, patients often report feeling relief rather than discomfort during treatment.
Understanding Root Canal Treatment Cost in Lahore
The root canal treatment cost in Lahore varies significantly across different clinics and depends on several factors. First, tooth location affects pricing since molars require more complex treatment than front teeth. Second, infection severity influences the number of visits needed. Third, additional procedures like crowns or posts increase overall expenses.
Furthermore, clinic reputation and dentist expertise impact costs. While some facilities offer extremely low prices, they may compromise on quality materials or sterilization standards. Therefore, balancing cost with quality ensures long-term success and safety.
At Dental Avenue Hospital, we provide competitive root canal price at Dental Avenue Hospital Lahore that reflects our commitment to excellence. Our pricing includes comprehensive consultation, advanced imaging, quality materials, and follow-up care.
Factors Affecting Root Canal Pricing
Tooth Complexity
Front teeth typically cost less because they have single, straight canals. Conversely, molars feature multiple curved canals requiring more time and expertise. Additionally, premolars fall somewhere in between these price ranges.
Treatment Urgency
Emergency root canal treatment Lahore services may carry premium pricing due to after-hours availability and immediate care requirements. Nevertheless, addressing dental emergencies promptly prevents complications and saves money long-term.
Technology and Materials
Advanced rotary instruments, digital imaging, and premium filling materials enhance treatment outcomes. Moreover, these investments justify slightly higher costs compared to outdated techniques. Subsequently, patients benefit from faster procedures, better precision, and improved success rates.
Finding Affordable Root Canal Treatment in Lahore
Searching for affordable root canal treatment in Lahore doesn’t mean sacrificing quality. Instead, focus on finding dental hospitals that offer transparent pricing, experienced specialists, and comprehensive care packages.
Dental Avenue Hospital stands out by providing value-driven services. We combine competitive pricing with cutting-edge technology and skilled endodontists. Furthermore, our payment plans make treatment accessible to everyone regardless of budget constraints.
Additionally, we never compromise on sterilization protocols or material quality. Therefore, you receive safe, effective treatment that lasts for years without requiring costly repairs or retreatment.
Why Choose Dental Avenue Hospital?
Best Dental Hospital in Lahore for Root Canal
When searching for the best dental hospital in Lahore for root canal treatment, several factors matter. Dental Avenue Hospital excels in all crucial areas including specialist expertise, modern equipment, patient comfort, and successful outcomes.
Our endodontists possess extensive training in root canal therapy. Moreover, they regularly attend workshops and conferences to stay updated on latest techniques. Consequently, you receive care that meets international standards.
Expert Dental Professionals
Finding the best dentist in Lahore for root canal procedures requires research and recommendations. Our team includes board-certified specialists who have performed thousands of successful root canals. Additionally, their gentle approach and clear communication help anxious patients feel comfortable throughout treatment.
Furthermore, our dentists take time to explain every step, answer questions, and address concerns. Therefore, you remain informed and confident about your treatment plan.
Painless Root Canal Technology
Concerns about pain often delay necessary treatment. However, painless root canal in Lahore price options are now accessible thanks to modern anesthesia and advanced techniques. At Dental Avenue Hospital, we prioritize patient comfort through multiple approaches.
First, we use powerful local anesthetics that completely numb treated areas. Second, rotary instruments work faster and smoother than traditional files. Third, we offer sedation options for extremely anxious patients. Hence, most people report feeling no pain during the procedure.
Moreover, post-treatment discomfort remains minimal with proper medication and care instructions. Additionally, any sensitivity typically resolves within a few days.
Convenient Root Canal Treatment Near Me Lahore
Location matters when seeking dental care, especially during emergencies. Searching root canal treatment near me Lahore should lead you to conveniently located, well-equipped facilities. Dental Avenue Hospital’s strategic location makes us easily accessible from all major areas of Lahore.
Furthermore, ample parking and public transportation access ensure hassle-free visits. Additionally, our extended hours accommodate working professionals and busy families.
Same-Day Emergency Services
Dental emergencies don’t follow convenient schedules. Therefore, we offer same-day root canal Lahore emergency services to address urgent situations promptly. Severe pain, swelling, or abscess formation requires immediate attention to prevent complications.
While some clinics advertise cheap root canal treatment in Lahore, extremely low prices should raise quality concerns. Substandard materials, inadequate sterilization, or inexperienced practitioners may save money initially but lead to treatment failure and additional expenses later.
Instead, seek reasonable pricing from reputable providers. Dental Avenue Hospital offers competitive rates without cutting corners on essential aspects of care. Furthermore, our transparent pricing policy eliminates surprise charges or hidden fees.
Treatment Process at Dental Avenue Hospital
Understanding the procedure reduces anxiety and helps you prepare appropriately. First, our dentist examines your tooth and takes necessary X-rays. Second, local anesthesia ensures complete numbness before starting. Third, we carefully remove infected tissue and clean the canals thoroughly.
Subsequently, we fill and seal the canals with biocompatible materials. Finally, we place a temporary or permanent restoration depending on your specific case. Additionally, we schedule follow-up appointments to monitor healing and complete any remaining work.
Aftercare and Maintenance
Successful root canal outcomes depend partly on proper aftercare. First, take prescribed medications as directed. Second, avoid chewing on the treated tooth until permanent restoration is placed. Third, maintain excellent oral hygiene through regular brushing and flossing.
Moreover, attend all scheduled follow-up appointments. Furthermore, inform us immediately if you experience unusual pain, swelling, or other concerns. Therefore, early intervention prevents potential complications.
Protecting Your Investment
Root canal therapy represents a significant investment in your dental health. Consequently, protecting treated teeth ensures long-term value. Most root canal-treated teeth require crowns for additional strength and protection. Additionally, regular dental checkups help identify and address minor issues before they become major problems.
FAQs
- How much does a root canal cost at Dental Avenue Hospital?
Root Canal Price in Lahore at our facility ranges from PKR 8,000 to PKR 25,000 depending on tooth location, complexity, and additional procedures required like crowns or posts.
- Is root canal treatment painful?
Modern root canal procedures are virtually painless thanks to effective anesthesia and advanced techniques. Most patients experience immediate relief from pre-existing pain.
- How long does root canal treatment take?
Simple cases may be completed in one appointment lasting 60-90 minutes. Complex cases might require two or three visits spaced over several weeks.
- Do I need a crown after root canal treatment?
Molars and premolars typically require crowns for protection and longevity. Front teeth may not always need crowns depending on remaining tooth structure.
- Can I eat normally after a root canal?
Avoid chewing on the treated tooth until your permanent restoration is placed. Soft foods are recommended for the first day, then gradually return to normal diet.



